Artrosis

 
Artrosis

 
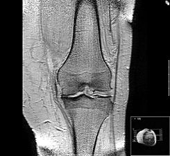
Desgaste de la articulación de la rodilla

La artrosis u osteoartritis es una enfermedad degenerativa crónica de lenta progresión común en la edad avanzada que afecta a las articulaciones móviles del cuerpo caracterizada por dolor articular, sensibilidad acentuada, rigidez, alteración en la movilidad, crepitaciones y derrame. Se genera a partir del daño acumulativo proveniente de lesiones microscópicas y macroscópicas en dichas articulaciones que activan una respuesta de reparación mal adaptada que incluye la activación de vías proinflamatorias del sistema inmunitario innato. El trastorno se manifiesta primero a nivel molecular y celular (metabolismo anormal de los tejidos de la articulación) seguido de alteraciones anatómicas o fisiológicas (degradación y pérdida del cartílago, remodelación del hueso, formación de osteofitos, inflamación sinovial, esclerosis y engrosamiento del hueso subcondral y pérdida de la función articular normal). El compromiso de la cadera y las rodillas son una causa común de discapacidad.12345

Es la enfermedad reumática más frecuente, especialmente entre personas de edad avanzada. Se presenta de forma prematura en personas con enfermedades genéticas que afectan al tejido conectivo, como el síndrome de Ehlers-Danlos y el síndrome de hiperlaxitud articular. Se sabe, por ejemplo, que en España la padece hasta un 16% de la población mayor de 20 años y, de ellos, las tres cuartas partes son mujeres.[cita requerida]

Etimología

Osteoartritis deriva del prefijo griego osteo-, que significa "del hueso", combinado con artritis: artr-, que significa "articulación", e -itis, cuyo significado ha llegado a ser asociado con inflamación. Así, -itis de osteoartritis puede ser considerado engañoso ya que la inflamación no es una característica conspicua. Algunos médicos se refieren a esta condición como osteoartrosis para denotar la ausencia de una respuesta inflamatoria.

Epidemiología

Qué es

La artrosis es una patología reumática que lesiona el cartílago articular.

Las articulaciones son los componentes del esqueleto que nos permiten el movimiento y, por tanto, nuestra autonomía funcional y están formadas por la unión de dos huesos a través de la cápsula articular. En el interior de las mismas existe, generalmente, un fluido llamado líquido sinovial que es producido por la membrana sinovial. Los extremos óseos que se unen para formar la articulación están recubiertos por el cartílago articular.

Cuando este cartílago articular se lesiona, se produce dolor, rigidez e incapacidad funcional. Normalmente la artrosis se localiza en la columna cervical y lumbar, algunas articulaciones del hombro y de los dedos de las manos, la cadera, la rodilla y la articulación del comienzo del dedo gordo del pie.

Síntomas

Es importante diferenciarla de la artritis, ya que en ésta es la inflamación la causante de la enfermedad y en la artrosis es el “desgaste”. Son dos enfermedades que cursan con dolor, en ocasiones hinchazón y rigidez, pero en la artrosis el dolor es de tipo mecánico (es decir, se desencadena con los movimientos y mejora con el reposo).

Origen

Esta enfermedad reumática no es hereditaria, pero sí tiene un componente de riesgo genético que, junto con otros factores, puede hacer que aparezca con más facilidad en los sujetos que tienen una historia familiar. Es importante conocer esto y conocer también que factores de riesgo como la obesidad, la falta de ejercicio físico o las alteraciones en la postura influyen en el desarrollo de la enfermedad y modificarlos está al alcance del propio paciente tanto para prevenir o retrasar los síntomas como para favorecer al tratamiento.

Factores de riesgo

Etiología

No se sabe aún con certeza cuál es el origen de este padecimiento.

Patogenia

En la artrosis, la superficie del cartílago se rompe y se desgasta, lo que provoca que los huesos se muevan el uno contra el otro y genera fricción, dolor, hinchazón y pérdida de movimiento en la articulación. Con el tiempo, la articulación llega a perder su forma original, y pueden crecer en ella espolones. Además, pueden desprenderse trozos de hueso y de cartílago y flotar dentro del espacio de la articulación, lo que genera más dolor y daño.

La artrosis puede afectar a cualquier articulación del cuerpo. No obstante, las más frecuentes son la artrosis de la espalda, que suele afectar al cuello y a la zona baja de la espalda (artrosis lumbar); la artrosis de la cadera, la de rodilla y la artrosis de manos, trapecio-metacarpiana (rizartrosis) y pies, que suele presentarse a partir de los 50 años.

Clasificación

Desde 1983 se encuentra en vigor la histórica clasificación de artrosis propuesta por el Colegio Estadounidense de Reumatología (ACR), que distinguía la artrosis primaria de la secundaria. La artrosis primaria se definía como una expresión de la degeneración idiopática en articulaciones previamente sanas y en correctas condiciones, sin un claro mecanismo causal.

Durante los últimos años, una gran cantidad de pruebas ha proporcionado nuevos conocimientos sobre la bioquímica y la biología molecular del cartílago, el hueso subcondral y otros tejidos articulares, lo que sugiere diferentes mecanismos etiopatogénicos en algunas formas de artrosis primaria. Por tanto, con los últimos conocimientos científicos no debe considerarse en la actualidad la artrosis primaria como de causa desconocida.

Gracias a los mayores conocimientos sobre la artrosis se está modificando el criterio de clasificación.

El grupo de Herrero-Beaumount ha propuesto una nueva clasificación etiopatogénica de la artrosis primaria a la luz de los importantes avances que se han producido en este campo de la patología, distinguiendo tres tipos etiológicos integrando la artrosis primaria:

  1. La artrosis tipo I, de causa genética.
  2. La artrosis tipo II, hormonodependiente (postmenopáusica).
  3. La artrosis tipo III, relacionada con la edad.

La artrosis tipo I, de causa genética, es una enfermedad hereditaria -descrita por vez primera por Kellegren y Moore y Steecher- en la que existe una predisposición familiar.

La artrosis tipo II, dependiente de las hormonas estrogénicas, está relacionada con los niveles de hormonas esteroideas, particularmente con los niveles de estrógenos. El máximo pico de prevalencia de artrosis en mujeres con relación a los hombres se asocia con la edad de la menopausia. La prevalencia de artrosis en las manos, cadera, rodillas, y múltiples articulaciones (artrosis generalizada) tiene una significación más alta en mujeres que en hombres después de los 50 años. Existe una asociación entre los niveles bajos de estrógenos y las radiografías de rodilla, en mujeres postmenopaúsicas. El polimorfismo del gen 1 del receptor de estrógenos se ha asociado con artrosis en diferentes poblaciones. El rápido descenso en la producción de estrógenos que acontece en la menopausia también puede acelerar la pérdida de masa muscular. Basado en las evidencias, es posible afirmar que la artrosis tipo II se desarrolla en los primeros años de la menopausia y que es un síndrome distinto, con claras diferencias tanto de la artrosis genética o tipo I como la relacionada por la edad (tipo III).

La artrosis tipo III está estrechamente relacionada con la edad. Ha sido considerada como prototipo de envejecimiento. Su prevalencia se incrementa rápidamente con los años, siendo casi universal su presencia en personas mayores. En las investigaciones, se ha considerado que los cambios que se producen en los tejidos musculoesqueléticos son consecuencia ineludible del paso del tiempo. 6

Cuadro clínico

Comúnmente la artrosis comienza lentamente. Tal vez se inicie con dolor en las articulaciones después de hacer ejercicio o algún esfuerzo físico. La artrosis puede afectar a cualquier articulación, pero ocurre más frecuentemente en la espina dorsal, manos, caderas o rodillas.

La artrosis en los dedos al parecer se presenta en algunas familias y no en otras, por lo que se piensa que podría ser hereditaria. Se ha observado que afecta más a mujeres que a hombres, especialmente después de la menopausia. Pueden aparecer pequeños nódulos de huesos en las articulaciones de los dedos. Nódulos de Heberden, en las articulaciones interfalángicas distales de las manos, o nódulos de Bouchard si están en la parte proximal. Los dedos se pueden hinchar, ponerse rígidos y torcerse. Los dedos pulgares de las manos también pueden resultar afectados (rizartrosis del pulgar).

Las rodillas son las articulaciones sobre las que se carga la mayor parte del peso del cuerpo (junto con los tobillos, pero éstos se mueven mucho menos que las rodillas), así que las expone a que sean mayormente afectadas por la artrosis. Se pueden poner rígidas, hinchadas y doloridas, lo que hace que sea difícil caminar, subir escaleras, sentarse y levantarse del asiento, y usar bañeras. Si no se recibe tratamiento, la artrosis en las rodillas puede llevar a discapacidad. A la artrosis de las rodillas se le denomina gonartrosis.

En las caderas la artrosis puede causar dolor, rigidez e incapacidad grave. Las personas con este padecimiento pueden sentir dolor en las caderas, en las ingles, en la parte interior de los muslos o en las rodillas. La artrosis en la cadera puede limitar mucho los movimientos y el acto de agacharse. El resultado es que actividades de la vida diaria como vestirse y el cuidado de los pies pueden resultar todo un reto. A la artrosis de las caderas se le llama coxartrosis.

Rigidez y dolor en el cuello o en la parte de abajo de la espalda pueden ser el resultado de artrosis de la espina dorsal. También puede generar debilidad o adormecimiento en los brazos o en las piernas y deterioro funcional. Según la localización específica de la artrosis en la columna vertebral, el padecimiento se denomina lumboartrosis (vértebras lumbares) o cervicoartrosis (vértebras cervicales).

Tratamiento

Tradicionalmente el tratamiento farmacológico que se ha empleado para hacer frente a la artrosis ha sido únicamente sintomático. Debido a que la posibilidad de sanación o de detención de la enfermedad era completamente nula, el objetivo de los tratamientos se ha centrado en erradicar en lo posible el dolor y otras molestias asociadas a esta patología mediante la administración de analgésicos y antiinflamatorios.

En general, los reumatólogos recetan analgésicos como el paracetamol (en dosis diarias máximas de 4 gramos)[cita requerida] y anti-inflamatorios como el ibuprofeno para el tratamiento de la artrosis, pero se debe tener en cuenta el estado del aparato gastrointestinal, para evitar el surgimiento de síntomas a este nivel o el empeoramiento de los ya existentes.

Estos tratamientos farmacológicos son en principio eficaces para reducir la inflamación, el dolor y así poder revertir la falta de la movilidad, de forma que se recupere la calidad de vida perdida por el desgaste de los cartílagos en las articulaciones afectadas por la artrosis.

A la hora de elegir el medicamento o tratamiento más adecuado para la artrosis que sufrimos, el médico prescribirá los medicamentos que sean mejores en función de la edad, el avance de la artrosis, otra medicación que se esté ya tomando para otras patologías o las alergias que se tengan a ciertos medicamentos.

Los medicamentos o tratamientos para la artrosis tienen diferentes propósitos:

- Reducir la inflamación.

- Aliviar el dolor.

- Recuperar la movilidad.

- Ralentizar el avance de la artrosis.

Algunos medicamentos y tratamientos por vía oral o intravenosa pueden causar efectos secundarios. Si se nota algún cambio inusual o indeseable, se le ha de informar al médico.

Los medicamentos o tratamientos tópicos tienen menos riesgo de efectos secundarios y pueden ser una opción muy eficaz cuando la artrosis que se sufre en articulaciones como: rodillas, manos, codos, hombros, cervicales o la parte de las lumbares en la espalda.

Los medicamentos y tratamientos tópicos más comunes para la artrosis son cremas, geles, pulverizadores (sprays) o fluidos con un porcentaje de antiinflamatorios y calmantes en su formulación. Estos pueden ser medicamentos como el ibuprofeno, diclofenaco, naproxeno, etofenamato, paracetamol…o naturales como el MSM (metil sulfonil metano), Boswellia serrata, harpagofito, jengibre, romero, apoyados con condroprotectores como la glucosamina HCL y la condroitina, procedentes de plantas y animales.

Los condroprotectores ejercerán una acción regeneradora sobre la deteriorada articulación al tiempo que los antiinflamatorios reducen el dolor y devuelven la movilidad a la articulación.

En casos en los que los medicamentos no se puedan administrar por vía oral, intravenosa o tópica por tener alergia a estos, como sucede comúnmente con los AINEs, por padecer alguna enfermedad en la que estén contraindicados, como una patología gástrica o circulatoria, por no sentir su efecto o simplemente porque ya se toman demasiadas medicinas y se quiere optar por una terapia natural y en muchos casos más efectiva que el medicamento, la opción de los antiinflamatorios y calmantes naturales mencionados antes es la alternativa más extendida en algunas fórmulas que pueden encontrarse en las farmacias y en herbolarios.

A lo anterior, es importante remarcar que el estilo de vida saludable, una buena alimentación, un peso correcto, ejercicio físico moderado y dormir bien son la mejor base para prevenir la artrosis.

Fármacos de acción sintomática lenta para la artrosis

Esta denominación viene del inglés Symptomatic Slow Acting Drug for Osteoarthritis (SYSADOA). Eran antiguamente denominados condroprotectores. Un metanálisis publicado en British Medical Journal en el 2010 afirma que son ineficaces para el tratamiento de este padecimiento.7

En este metaanálisis se evaluó el efecto sintomático y modificador -de la enfermedad- tanto de condroitín sulfato como de glucosamina y su combinación, y se llegó a la conclusión de que ninguno de los productos presenta eficacia clínica en el tratamiento de la artrosis. No obstante, la publicación de este trabajo suscitó numerosas críticas, del mismo modo que ocurrió con el anterior metaanálisis publicado por el mismo grupo de investigadores.8

Concretamente, la metodología seguida por Wandel et al. es cuestionable, con base en la opinión de diversos expertos del campo de la artrosis, tal como revelan las numerosas cartas al editor (más de 20) publicadas al respecto en la edición en línea de British Medical Journal tras la publicación de dicho artículo.9

Dada su importancia, tres de estas cartas se han publicado también en la edición impresa de la revista.101112

Tanto las cartas al editor como algunas de las respuestas rápidas están firmadas por reumatólogos y farmacólogos clínicos de prestigio a nivel internacional, así como por expertos en el campo, provenientes de distintas instituciones: universidades, hospitales y centros de investigación, que ponen en entredicho las conclusiones del metaanálisis. Dichas conclusiones deben interpretarse con precaución, ya que están basadas en una serie de sesgos metodológicos, como el criterio de inclusión de ensayos clínicos utilizado o los límites preestablecidos por los autores acerca de la relevancia clínica de los resultados, entre otros.

Además, los resultados del metaanálisis de Wandel et al. contradicen los de otros metaanálisis y ensayos clínicos realizados por científicos expertos en este campo que han demostrado que el condroitín sulfato (CS) es un tratamiento sintomático efectivo para la artrosis y que puede retrasar su progresión.1314151617

Además, cabe destacar sobre todo que, tras la publicación de este metaanálisis, se publicó en Internet una notificación a cargo de uno de los editores de British Medical Journal el 10 de enero, con el título: “Report from BMJ post publication review meeting”,18​ en la que se cuestionan algunas de las afirmaciones del artículo e incluso se cita un posible conflicto de interés por parte del editor estadístico de la revista, por lo que la validez y la fiabilidad de ese metaanálisis han quedado gravemente en entredicho.

Concretamente, en dicha notificación se informa que, a raíz de la controversia generada por este artículo y las numerosas críticas recibidas a través de cartas al editor, los editores y asesores estadísticos de BMJ se reunieron para discutir su contenido. En la reunión se decidió que las dos afirmaciones del artículo en las que se desaconseja la financiación de estos productos a cargo de las autoridades sanitarias, así como su prescripción, no están directamente justificadas con sus datos. A su vez, se constata que dichas afirmaciones se basan en sus datos únicamente de forma indirecta y no añaden utilidad al artículo. Concluyen afirmando que el proceso de revisión del artículo fue correcto y que en investigaciones futuras es posible terminar por demostrar, como en otras disciplinas científicas, que sus resultados son erróneos o acertados. De esta forma, a pesar de defender la forma de proceder de su revista, dejan entrever que sus conclusiones pueden ser equívocas.

Otro dato a tener en cuenta es la sección de conflicto de interés que se incluye al final de este escrito. En ella se especifica que el editor estadístico en jefe de BMJ declaró en la reunión posterior a la publicación que conocía bien y había trabajado con dos de los autores del artículo, por lo que se abstuvo de realizar comentarios durante la reunión. Con esta afirmación, también queda en entredicho la objetividad de los editores de BMJ a la hora de publicar el trabajo.

Otro artículo,19​ publicado en la revista Evidence-Based Medicine (perteneciente al grupo de publicaciones de BMJ), cuestiona de nuevo los resultados del metaanálisis. Se trata de una revisión de la glucosamina y el condroitín sulfato, en la que el autor pone en entredicho los resultados del metaanálisis debido a la heterogeneidad de los artículos que han sido incluidos. Confirma que varios metaanálisis han demostrado que condroitín sulfato y sulfato de glucosamina son productos de alta calidad y son efectivos para el tratamiento de la artrosis de rodilla, y que otros productos de baja calidad no lo son. Afirma que este metaanálisis está sesgado por una selección reducida de ensayos clínicos y que los resultados de éste no deben cambiar la evidencia existente hasta ahora.

Asimismo, en una revisión de dicho metaanálisis, publicada en una sección de la prestigiosa revista Annals of Internal Medicine destinada a revisar artículos ya publicados (ACP Journal Club), también se comenta la controversia surgida a raíz de este estudio y se concluye que los datos aportados difícilmente respaldan la conclusión de que las autoridades sanitarias y las aseguradoras no deberían cubrir los costes de estos fármacos.20

Por otro lado, es importante también destacar que las conclusiones de Wandel et al. 2010 están en desacuerdo con todas las guías internacionales y europeas, las cuales unánimemente recomiendan el uso de la prescripción de glucosamina y condroitín sulfato. Concretamente, el condroitín sulfato ha sido catalogado con el máximo nivel de evidencia (1A) y grado de recomendación más elevado (A) por sociedades reumatológicas de prestigio tanto nacionales como internacionales y sus grupos de medicina basada en la evidencia (EULAR, Liga Europea de Reumatología; OARSI, Sociedad Internacional de Artrosis; SER, Sociedad Española de Reumatología; SEMERGEN, Sociedad Española de Medicina General Societat Catalana de Reumatologia; etcétera).2122232425

Recientemente se publicó en otra revista de reconocido prestigio internacional (Annals of the Rheumatic Diseases) un ensayo clínico que confirma la eficacia del condroitín sulfato en el tratamiento de la artrosis de rodilla.26

En algunos pacientes con artrosis se administra como fármaco condroitín sulfato al reducir el dolor y otros síntomas y mejorar el movimiento de las articulaciones afectadas. Es una sustancia natural existente en nuestro organismo. Es uno de los principales constituyentes del cartílago, que se une a una proteína para formar el proteoglicano, y proporciona al cartílago propiedades mecánicas y elásticas.

Otros fármacos de este grupo son la glucosamina y la diacereína.

Uno más de los tratamientos que se han investigado consiste en la aplicación de ácido hialurónico.27​ Sin embargo, éste ha sido clínicamente inefectivo para el tratamiento de la cadera y de las rodillas.2829